Expert dosimetry planning across every region of the body.
High quality dosimetry planning and quick turnaround times, designed to let you focus on what matters most — your patients.

Focusing on larger and more irregularly shaped pelvic target volumes, VMAT provides substantial dose conformity over previously standard three-dimensional radiation treatment planning. This has allowed for radiation dose escalation due to often studied reduced side effects with VMAT technique.

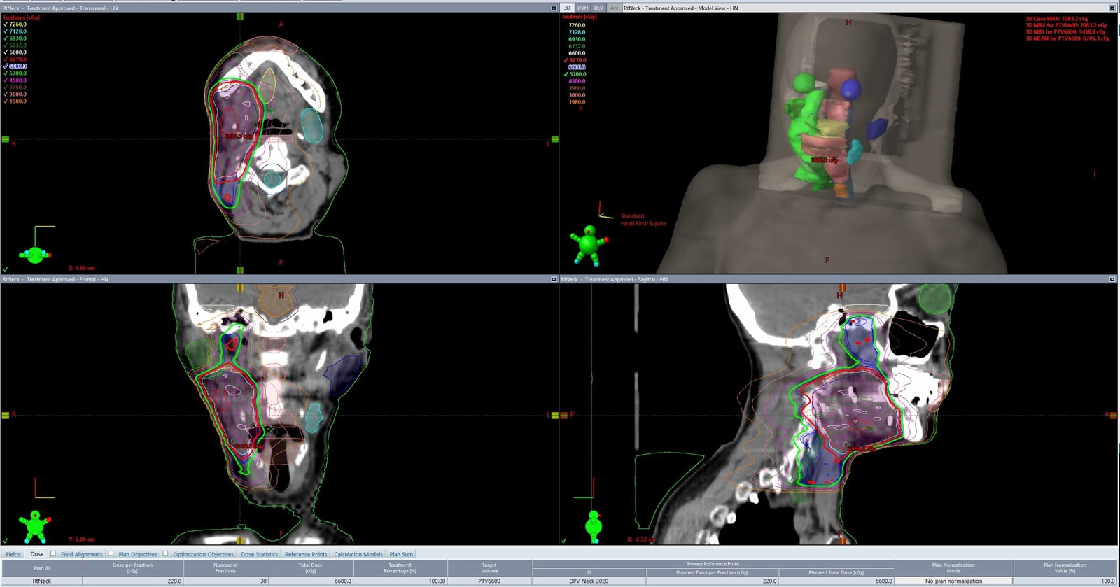
Head and neck cancers have often been associated with very difficult and time-consuming radiation treatment planning. When IMRT was introduced, the difficult issue of treating the posterior neck lymph nodes was finally solved. VMAT offered the additional solution of time, reduction in monitor units, and improved dose reduction of organs at risk.

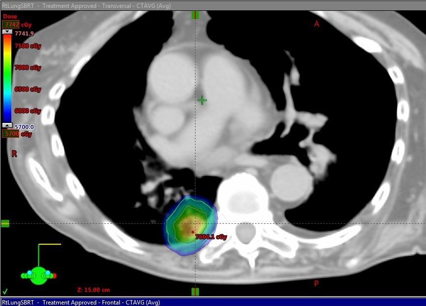
Lung irradiation has always presented a dosimetry problem with doses above 20Gy to the nearby healthy lung. VMAT has allowed higher doses to be delivered than previous generations of radiation dosimetry planning. Stereotactic body radiation therapy (SBRT) delivers high levels of radiation to the tumor.

Radiation has always been a cancer treatment that has been attempted to be reduced and/or avoided due to the long-term side effects that it can have on growth and cognitive function development. When radiation has decided to be given, dosimetry must be handled with extreme care.

One of the few radiation dosimetry techniques that has not thoroughly changed over time. Whole breast radiation has been considered the standard of care using three-dimensional radiation planning techniques. Novel approaches with deep inspiration breath hold with gating reduce radiation to healthy lung and heart.

Standard of care for primary brain tumors is VMAT. In recent years, VMAT has been used for palliative radiation dosimetry as well. Stereotactic radiosurgery can deliver extremely high doses to individual brain mets with as little as only one isocenter.
The regions listed above are not our only target areas. We provide remote dosimetry services for every part of the body.
Years Experience
Per dosimetrist, minimum
Turnaround Time
Plans ready for review
HIPAA Compliant
Fully secure remote access